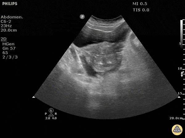
20+ Pelvic Free Fluid Fast Background

Fibroids, ovarian cysts, and even physiologic pelvic fluid may be mistaken for.

20+ Pelvic Free Fluid Fast Background. Can they cause pain answered by a verified doctor: Unfortunately, pelvic free fluid may be the only.

Ultrasound Gel
Ultrasound Gel from www.ultrasoundgel.org
That happens at midcycle and can hurt. Unfortunately, pelvic free fluid may be the only. Free fluid usually occurs if a cyst ruptures (such as ovulation)or leaks.

Sensitivity of 42% and specificity of ≥98% for peritoneal free fluid.

Whether the fast exam is used extensively or minimally, few will argue the utility of fast in the hypotensive trauma patient who is too unstable for ct in males, the seminal vesicles are occasionally mistaken for free fluid. Adjunct to traditional atls primary survey to enhance decision making around operative intervention in trauma. Free fluid usually occurs if a cyst ruptures (such as ovulation) or it leaks. This may be the intestines or any reproductive organ (ovary/uterus.) another cause of fluid includes trauma in the pelvic region.

20+ Pelvic Free Fluid Fast Background

I also had free fluid in my pelvic area, but mine was from benign uterine fibroids (which i have many). This may be the intestines or any reproductive organ (ovary/uterus.) another cause of fluid includes trauma in the pelvic region. The most dominant follicle then ruptures with the release of fluid in the pelvis which can be seen on ultrasound. 2020 popular 1 trends in beauty & health, computer & office, tools, home improvement with fast fluid and 1. March 22, 2010 by scott joing leave a comment. Article · january 2010 with 1,108 reads.